이 글을 클릭하셨다면
치과에 가기 전부터 특유의 냄새, 소리까지 생생하게 떠올렸을지도,
차가운 마취 주사 바늘이 잇몸에 들어오면 아프지 않을까 걱정되기도,
혹시라도 과정을 알면 덜 아플까 유튜브로 시술 과정 영상을 돌려보기도 했을 것 같습니다.
어떻게 잘 아냐고요?
저 역시 치과 공포증이 심한 사람 중 한 명이기 때문입니다.
어렸을 때 너무 아프게 치료받았던 기억이 어른이 된 지금까지 생생합니다.
그 경험이 아프지 않게 마취를 하는 3가지 노하우를 만들어 주었습니다.
아프지 않게 치료를 받고 싶은 분, 임플란트 수술 통증이 걱정되는 분들을 위해 그 방법을 소개해드릴게요.
지금 내가 치과 의자에 앉아 진료를 받고 있다고 상상하며 읽어도 될 만큼 편안하실 거에요.
1) 부드러운 솜이에요.
어린 친구들은 마취주사부터 보여주면 눈물을 흘릴 겁니다. 그래서 면봉에 마취크림을 마취부위에 천천히 발라줍니다. 마취 주사가 들어가더라도 아프지 않게 하는 것이죠.
그 다음에 “눈 꼭 감아~” 하면서 주사를 찔러도 아무렇지 않아 합니다. 마취만 잘 되면 1초 만에 유치는 뽑을 수 있기 때문에 어린 친구들도 어리둥절하면서 집에 갑니다. 그럴 때마다 저 친구는 나처럼 무서워하지 않고 다음에도 편안하게 치과를 찾겠구나 안심이 되곤 합니다.
2) 천천히~ 천천히~
물도 한꺼번에 마시면 버거운데 주사는 어떨까요? 마취주사 역시 천천히 퍼질 시간을 주면서 힘을 덜 주면 아프지 않습니다.
가끔 손의 힘 조절이 안되거나 빠르게 마취를 하고 싶은 유혹(?)이 있기도 하지만 저희 치과에서는 한 방울 한 방울 1~2분 동안 천천히 나오는 스마트 주사기를 사용합니다. 알아서 속도를 조절해주기 때문에 딱 안 아픈 정도의 속도로 마취를 도와줍니다.
3) 따뜻할수록 안 아파요
우리 얼음물을 마실 때 너무 시리시죠? 그렇다고 너무 뜨거운 물을 먹어도 화상을 당할 겁니다.
그런데 36.5도 우리 몸의 온도와 똑 같은 물을 마신다면? 이게 물인지 나인지 구분이 안될 겁니다.
마취액도 똑같아요. 체온이랑 비슷할수록 덜 아픕니다. 무통 마취워머로 미리 따뜻하게 마취액을 맞추고 주사하게 되면 ‘마취한 거 맞아요?’ 어리둥절해 하는 환자분들을 보곤 합니다.
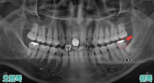
이렇게 모든 과정이 끝나면 아무리 임플란트를 많이 심어야 하는 분들도 수술이 끝날 때까지 아플 걱정은 없습니다. 그만큼 마취 시간이 오래 걸리기는 하겠지만, 마취를 오래한다고 싫어하시는 분은 한 번도 본적이 없어요.
이 글을 보셨다면 마취가 오래 걸릴수록 “이 선생님이 나를 위해 신경 쓰고 있구나” 생각하시면 되겠습니다.
크림, 천천히 넣는 주사, 따뜻한 마취액 이 세가지만 기억하셔도 이제 통증 걱정 없이 치료 잘 받으실 수 있으실 겁니다.
안 아프게 치료받는 방법을 알았다면, 이제 ‘좋은 치과’를 찾는 일만 남았네요.
혹시 어떤 기준으로 치과를 선택하고 계세요?
만약 3초 안에 답을 내리지 못하고 있다면, 아래 칼럼을 이어 봐주세요.
제가 직접 작성한 ‘치과 선택 전 필독 글’입니다.
<맵핑 칼럼>
이미 위 칼럼 글까지 읽고 고개를 끄덕이고 계시다면, 미소나무 치과에 연락 주셔도 좋습니다.
불필요한 비용을 아끼고, 도움이 되는 치료가 무엇인지 상담을 통해 알려드리겠습니다.
다만, 한 가지 양해의 말씀을 드리자면,
현재 오전 1명, 오후 2명 임플란트 수술을 진행하고 있습니다.
임플란트 수술은 의사의 실력과 들인 시간에 따라 결과가 좌우 될 수 있습니다. 매번 치료/수술 예약마감으로 여러분께 불편을 드릴 수 있지만, 제가 쓴 1시간이, 여러분에게 10년, 20년으로 돌아올 거라 믿습니다.
대표원장이 직접 운영하고 있는 홈페이지인 만큼 이곳에서 상담을 신청해주시는 분들 우선으로 치료/수술 날짜를 정해드리고 있습니다.





